Top.Mail.Ru
Поликистоз почек у кошек: симптомы, лечение и сколько живут питомцыe}
Местоположение
м. Алексеевская, Зубарев пер., 7
  • м. Алексеевская, Зубарев пер., 7
  • м. Народное ополчение, пр. Маршала Жукова, 65
Местоположение м. Алексеевская, Зубарев переулок, 7
Единый колл-центр
Круглосуточно, без выходных Круглосуточно, без выходных
Без выходных Круглосуточно, без выходных Круглосуточно, без выходных

Поликистоз почек у кошек

Нефрология
Содержание
    Поликистоз почек у кошек — это наследственное заболевание, при котором в органе появляется большое количество кист с жидкостью. Из-за образования и роста кист функция почек постепенно снижается, они перестают нормально фильтровать кровь, выводить токсины и продукты обмена веществ. В итоге у кошек развивается хроническая почечная недостаточность. Разбираем в статье, как заподозрить, диагностировать и лечить заболевание.

    Причины поликистоза почек у кошек

    Поликистоз почек — наследственная патология из-за мутации гена PKD-1, который отвечает за выработку белков для почечных канальцев. В случае мутации гена строение почечной ткани нарушается и образуются замкнутые полости — кисты. Путь передачи болезни – аутосомно-доминантный. Достаточно, чтобы у одной из кошек-родителей была эта мутация, чтобы котенок родился с врожденной болезнью.

    Породы, подверженные заболеванию

    Поликистоз почек часто встречается у персидских кошек, но это не единственная порода в группе риска. Заболевание также может поражать экзотическую короткошерстную кошку, гималайскую, британскую короткошерстную, американскую короткошерстную, невскую маскарадную, бурмиллу, рэгдоллов, мейн-кунов.

    Стадии поликистоза почек у кошек

    Можно выделить условные четыре этапа, как развивается патология у питомцев:

    1. Кисты формируются еще внутриутробно, на УЗИ их можно увидеть уже в 2 месяца. Но встречаются случаи, когда они образуются только ближе к году.

    2. Постепенно кисты увеличиваются, сдавливая и замещая здоровую ткань. 

    3. Погибают нефроны (структурно-функциональные единицы почки), ткань атрофируется.

    4. Функция органа нарушается, что ведет к хронической болезни почек.

    Симптомы заболевания

    Изначально поликистоз почек может протекать совершенно без симптомов. Иногда у питомцев появляется вялость и болезненность в области почек, если кисты вырастают до огромных размеров и начинают сдавливать соседние внутренние органы. К слову, болевой синдром также может быть при пиелонефрите (инфекционном воспалении), который развивается одновременно с поликистозом.

    Чаще всего владельцы обращаются с симптомами уже прогрессивной хронической болезни почек, когда у кошек наблюдается:

    • угнетенное состояние, вялость;

    • снижение или отсутствие аппетита;

    • рвота;

    • сильная жажда;

    • увеличение объема мочи;

    • снижение веса.

    divider

    Может ли киста лопнуть?

    Затормозить рост кист нельзя — постепенно с возрастом они увеличиваются в размере и в количестве. Владельцы часто переживают, может ли киста лопнуть. На практике этого не происходит. Чисто теоретически это может случиться, но в этих кистах находится первичная моча, которая по составу близка к плазме крови и быстро всасывается в организме. Опасным это может быть, если киста — инфицированная и тогда есть риск обсеменения бактериями брюшной полости. Именно поэтому важно профилактировать, вовремя диагностировать и лечить инфекции мочевыделительной системы у данной группы пациентов.
    divider

    Диагностика

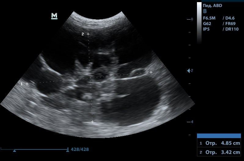
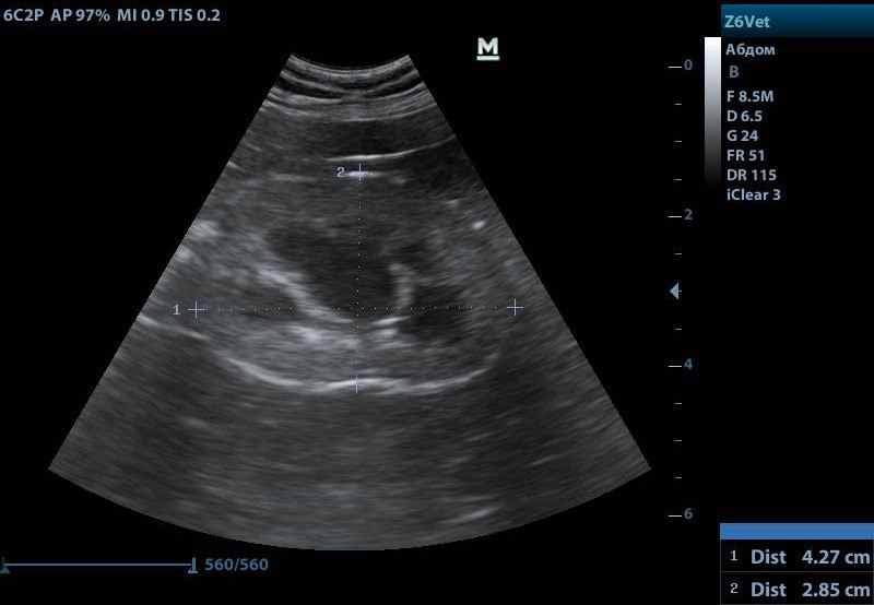
    Данный диагноз ставят с помощью ультразвукового исследования. В случае поликистоза на УЗИ видно, что дифференциация слоев в почке сглажена или отсутствует. В ткани визуализируются множественные полости с жидким содержимым.

    Снимок нормальной почки

    Снимок почки с поликистозом, черные включения — кисты

    Если на УЗИ подтверждается поликистоз, ветеринарные врачи уже могут поставить животному диагноз «‎хроническая болезнь почек 1 стадии». В обязательном порядке исследуем кровь на биохимию, общий анализ крови и мочу на общий анализ и соотношение белок-креатинин.

    Если у кошки диагностирован поликистоз почек, врач назначает плановый мониторинг 1 или 2 раза в год, в который входит:

    • осмотр нефролога;

    • тонометрия — измерение давления;

    • клинический и биохимический анализы крови, обязательно в состав профиля должны входить такие показатели, как креатинин, мочевина, фосфор, альбумин, калий, натрий, хлор, ионизированный кальций;

    • общий анализ мочи с соотношением белка к креатинину; 

    • УЗИ мочевыделительной системы;

    • анализ крови на Т4 общий — после 8 лет.

    Также существует генетические тесты на носительство мутации гена PKD-1. Если кошка или кот рассматриваются к вязке, рекомендуется предварительно пройти тестирование. Если обнаружена мутация, питомца необходимо исключить из разведения.

    Прием врача нефролога
    5 000  ₽
    Запишитесь к врачу

    Врач принимает только очно. Почему нельзя онлайн? В некоторых случаях невозможно поставить диагноз удаленно — важно осмотреть пациента вживую.
    Врач принимает только онлайн.
    Стоимость услуги

     ₽

    Прием врача по адресу:
    Ветеринарный врач имеет несколько специализаций, выберите подходящую:
    Стоимость услуги

     ₽

    Лечение

    Специфического лечения поликистоза не существует, от генетической мутации и от самих кист нельзя избавиться. Как правило животным подбирают правильную пожизненную диету, в составе которого низкий процент белка и фосфора, что позволяет не нагружать орган. 

    При появлении первых признаков хронической болезни почек терапия направлена на:

    • минимизацию накопления токсичных отходов в кровотоке, 

    • поддержание адекватной гидратации, 

    • устранение нарушений концентрации электролитов, 

    • поддержку надлежащего питания, 

    • контроль артериального давления,

    • замедление прогрессирования заболевания.

    Также необходимо особое внимание уделить профилактике инфекций в мочевыделительной системе. Каждое животное и его заболевание уникально, поэтому ветеринарный врач-нефролог подбирает пациенту индивидуальную схему медикаментозного лечения.

    В редких случаях проводят аспирацию крупных кист, то есть отсасывание содержимого кисты, но эффект временный и обратимый.

    Прогнозы по продолжительности жизни

    Чем раньше обнаружить заболевание, тем быстрее его можно взять под контроль и продлить питомцу жизнь. В одном исследовании, направленном на оценку продолжительности жизни у кошек с поликистозом почек, участвовало 300 кошек. «Наибольшее количество смертей пришлось на возраст 7 лет. Статистический показатель выживаемости начал значительно снижаться в возрасте 6–7 лет», — заключают исследователи.

    Профилактика поликистоза почек

    Главная профилактика — это диагностика кошек, которые имеют племенную ценность. При обнаружении мутации данного гена или самого заболевания крайне важно исключить животных из разведения. Также важно проходить с питомцем ежегодные профилактические чек-апы в клинике, включая ультразвуковую диагностику. Обследования позволяют выявить структурные изменения в органе, даже когда питомцев еще ничего не беспокоит.

    Истории пациентов

    Кошка Морошка,
    1,5 года

    Владельцы приехали в ветеринарную клинику с кошкой на чек-ап перед стерилизацией, где во время УЗИ врачи обнаружили поликистоз почек. Морошку направили на прием к нефрологу. По результатам исследований и общего осмотра отклонений обнаружено не было, Морошку допустили до стерилизации. Нефролог объяснил владельцам, на что стоит обращать внимание, и составил план мониторинга.

    Статью подготовили ветеринарные врачи-нефрологи Анастасия Чапурина и Юлия Зайцева. Сокращенная версия статьи опубликована в журнале «ДРУГ. Любимые кошки» (номер 3, 2025 год).

    Эта статья была полезной?

    Стоимость лечения

    м. Алексеевская, Зубарев переулок, 7
    • м. Алексеевская
    • м. Народное ополчение
    • Раздел 'Нефрология' закрыт Раздел 'Нефрология' открыт

      Нефрология 3

      • Прием врача нефролога
        5 000 ₽
      • Прием врача нефролога повторный
        5 000 ₽
      • Онлайн-консультация врача нефролога
        5 000 ₽

    Данные услуги пока недоступны в этом филиале

    • Раздел 'Нефрология' закрыт Раздел 'Нефрология' открыт

      Нефрология 3

      • Прием врача нефролога
        5 000 ₽
      • Прием врача нефролога повторный
        5 000 ₽
      • Онлайн-консультация врача нефролога
        5 000 ₽

    Данные услуги пока недоступны в этом филиале

    Запишитесь к врачу

    Врач принимает только очно. Почему нельзя онлайн? В некоторых случаях невозможно поставить диагноз удаленно — важно осмотреть пациента вживую.
    Врач принимает только онлайн.
    Стоимость услуги

     ₽

    Прием врача по адресу:
    Ветеринарный врач имеет несколько специализаций, выберите подходящую:
    Стоимость услуги

     ₽

    -->